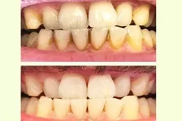
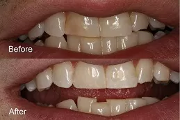
Dental stains can adversely affect your personality. You may feel a little shy in fully smiling in public if you have dental stains. They result from several issues teaming up, including drinking coffee, tobacco consumption, genetics, and poor oral hygienic habits, to name a few.

Many people try home remedies, but they usually don’t get the desired results. Ideally, you should get a Dental Stain Removal in Georgia & Tbilisi. The treatment is highly effective, and you can remove the stains from your teeth with relative ease.

Let’s dive in and learn more about this problem and its solution.

Types of Dental Stains:

The three main types of dental stains are

  • Extrinsic stains which occur due to food, beverages, or tobacco consumption
  • Intrinsic Stains, which have a greyish tinge, are caused by certain medications, trauma, injury, and even braces cause them.
  • Age-related Stains appear in the 50s, with the enamel on teeth starts to wear off. Intrinsic and extrinsic stain-related factors can also cause age-related stains.

Prevention is Better than Cure:

It is not possible to eliminate dental stains, but they can at least be delayed. It starts with good oral hygiene with regular teeth brushing and flossing. You should also avoid foods and drinks that cause dental stains. These steps will also help you boost your health in general.

Results of Dental Stain Removal:

You can expect stain-free teeth and a beautiful smile after the dental stained removal surgery in Georgia and Tbilisi. You can maintain the results with good oral hygiene and avoid consuming food and drinks that stain the teeth.

When to See a Dentist?

If you notice changes in the color of the teeth and it does not go away after you use fluoride toothpaste, you should see your doctor. Such discoloration is the sign on dental stains that need to be treated for removal.

Your dentist will assess the extent of the problem and the best way to get rid of the stains. An early visit to the doctor can help in fixing the issue before it becomes pronounced.

Professional Dental Stains Removal Options:

There are some options available for getting rid of stained teeth in Georgia and Tbilisi. One or more of these procedures may be used to get rid of your dental stains and help you regain that perfect smile.

Options for dental Stain Removal in USA:

Let’s discuss some of the options available for dental stain removal

In-Office Whitening/Bleaching:

The procedure takes about half an hour to complete, though more than one session may be needed. Your dentist will most likely benefit from zoom or dental teeth whitening procedures which remove some of the dental enamel to get rid of the stains.

The doctor will also likely apply a gel to your teeth to aid the process. A rubber guard or a protective gel will be applied to your gums to ensure they’re not affected by the treatment.

Tooth Bonding:

Synthetic material is applied to the teeth to get rid of the stains. Tooth bonding is a simple procedure and is also used to correct other dental issues as well. There is no downtime with tooth bonding, and the procedure is completed within an hour.

Veneers:

Veneers are thin shells, typically made of porcelain, applied to the teeth to fix several dental issues, including dental stains. The procedure offers long-lasting results with good maintenance. You may need to visit your dentist a couple of times for the veneers.

Dental Stain Removal Aftercare:

You may have minor discomfort after the procedure, which should subside in a short period. You will also experience tooth sensitivity. The doctor may prescribe some medication to alleviate pain though it’s not always the case. Avoid certain foods and drinks for a few days as per your doctor’s advice. Ensure that you set a follow-up session with your doctor to discuss the results and if any adjustments need to be made.

Dental Stains Removal (FAQ’s):

Can Teeth Stains Be Removed?
Dental Stains Removal can be performed using several in-office or at-home remedies. It is still recommended to seek professional advice before proceeding with a home-care regimen as certain abrasive treatments can result in greater susceptibility to teeth stains by scratching the enamel.
What Do Dentists Use To Remove Stains?
The dentist will choose the appropriate Dental Stains Removal technique suited to each case after careful examination. For mild and moderate staining, teeth polishing using polishing paste and microdermabrasion or lasers may be used while for greater staining, a bleaching agent may be used to get a more whiter look.
Can Old Tooth Stains Be Removed?
If brushing, flossing and at-home remedies are not working, maybe it's time to seek professional help. Advances in modern dental treatments have now enabled doctors to tackle even the stickiest of the stains and you can easily get your shining smile back.
How Long Does Teeth Stain Removal Last?
Dental Stains Removal if performed at home can give results that last up to 3-4 months. If performed by a professional using modern techniques, stain removal can give lasting results for up to a year or even more with proper oral hygiene.
Does Stain Removal Damage Teeth?
Cases of damaged enamel, although rare, are mostly seen with at-home remedies and treatments. It is generally a safe treatment if performed by an expert in the field with relative experience which is why you should always consult an expert before opting for any sort of treatment.

Get the Best Dental Treatment in Georgia:

At Royal Clinic, we offer the very best dental treatments. Out doctors have years of experience in performing dental procedures. Our facilities have the most modern equipment. Our support is also well trained.

So when you need dental treatment in Georgia, you can count on us. We will ensure that you get the perfect smile you always wanted.

So take a minute and fill in the form given below. One of our associates will reach out to you and set up an appointment with our experts at a time of your convenience.

Schedule A Consultation

WhatsApp