Best Dental Clinic in Georgia | Dentists USA

Teeth are an essential part of your personality. Maintaining their health is vital. It is imperative to treat any issues related to teeth to avoid severe pain and ensure good health. With different kinds of procedures, you can literally overcome all dental problems.

Selecting your Dentist:

While getting the treatment, the selection of the right dentist is also crucial. You probably will need to meet a few Best Dental Clinic in Georgia & Tbilisi before you make the call. Some points to pay attention to are listed below.

  • Learn about the qualifications and experience of your dentist. It gives you an idea about the abilities of the doctor.
  • The dentist is well-versed with the particular treatment you’re seeking.
  • A pleasant personality that you can communicate easily with is an added advantage.
  • Look up reviews about the dentist and see what previous patients think. Be sure to check reviews from different websites since some posters can be biased.

Results:

The treatments performed by a dentist will help achieve a beautiful smile and even save your teeth. They can help relieve pain and discomfort and at the same time provide aesthetic effects by improving the overall appearance of teeth.

Best Dental Services in Georgia:

If you’re looking for the very best dental services in Georgia, Tbilisi, we’ve got you covered. From teeth whitening to a complete smile makeover, we have all the services available. Our doctors are highly trained and experienced.

Treatments Available:

The following dental treatments are available with us.

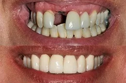
Dental Implants:

A dental implant is a small surgical post that is surgically inserted into the jawbone to substitute for the root of the missing tooth. Titanium or titanium alloys are used for making these implants. You can have the procedure done on one or more teeth.

Teeth Whitening:

Teeth Whitening is one of the most sought-after dental treatments. With a nearly 100% success rate, it helps you get your perfect smile back. It involves a gel with 15% to 35% hydrogen peroxide, penetrating the teeth’s permeable layer and getting rid of stains.

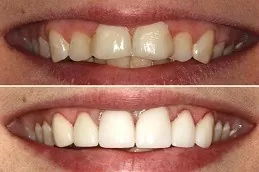
Hollywood Smile Makeover:

Do you want to get the perfect smile like the A-List Hollywood celebrities? Most of them have undergone dental treatments before achieving it. The Hollywood Smile Makeover is the ideal solution for anyone looking for such a smile.

It is a group of treatments that rejuvenate your smile and transform your appearance. The most common procedures in the smile makeover include teeth whitening, veneers, composite bonding, and dental implants.

Digital Smile Design:

In digital aid, you can predict the outcome of just about anything with computer-generated results. The same concept is applied to dental treatment with the digital smile design.

Essentially, you can see how your teeth will look after you undergo treatment. The computer generates the expected result based on the treatment.

Gum Recontouring:

The procedure may be used when the gums have receded considerably and exposed too much of your teeth. On the flip side, it is also used to brighten your smile by cutting excessive gum and showing more teeth. The procedure can involve some pain due to its invasive nature.

Dental Fillings:

Cavities in the teeth are relatively common, and dental fillings are the perfect solution for them. The filling, which may consist of porcelain, gold, or silver amalgam, helps better jaw movements and evens out the teeth.

The results may vary in individual cases depending on the size and location of the filling. Dental hygiene is another factor that impacts the outcome of the procedure.

Invisalign Braces:

If you’re an adult and need braces, Invisalign is the perfect option for you. It can be very awkward to have metal braces showing clearly while you sit in a board meeting.

Invisalign are essentially transparent braces that do not show easily. Made from a specific type of clear plastic, these are custom-made per the patient’s needs, and you can easily remove them while having food.

Root Canal:

A root canal is the last resort to treat a badly decayed and infected tooth. In this procedure, the pulp of the tooth, which is the deepest layer containing nerves and blood vessels, is removed.

Periodontics:

In case of severe damage to the teeth, which cannot be corrected with regular procedures, periodontal surgery is the answer. You should discuss the course of action with your periodontist to better understand treatment options. They can assess your particular issues and recommend whether you need dental surgery.

Preparing for a Dental Appointment:

Preparing for a dentist’s appointment requires some simple steps. However, this preparation can help you get the most out of the visit.

  • Make a list of issues that you wish to discuss with your dentist. One can forget details at the last minute.
  • Ensure that you go with clean teeth. Flossing and brushing before the appointment is a good practice. Do not eat food after you’ve cleaned your teeth.
  • Let the doctor know about any medications you’re taking. Also, let them know if you have anxiety.

Book an Appointment

If you need to learn more about the various dental treatments or set an appointment for Best Dental Clinic in Georgia & Tbilisi, take a minute to fill in the form below. One of our representatives will reach shortly reach out to you.

Schedule A Consultation

WhatsApp