Without proper dental care, children may develop oral diseases and decay that could result in discomfort and issues for the rest of their lives.  However, Pediatric Dentistry in Georgia, Tbilisi is an important part of dentistry that treats young patients who need special care and attention when it comes to their teeth.

What is Pediatric Dentistry?

Pediatric dentistry is a branch of dentistry that deals with the examination and management of dental health in children. Dental procedures are generally perceived as intimidating and painful experiences that most would like to avoid, especially among children.

It is an area of expertise related to the dental care needs of children and their dental treatments. People who specialize in pediatric dentistry. They provide dental cleaning, fluoride application, fissure sealant, routine dental care, and many treatments for children and check whether the child’s jaw and teeth are developing properly.

What does a Pediatric Dentist Do?

Pediatric dentists have received specialised training in working with children and are prepared to meet the specific needs of young patients. They are adept at facilitating children’s relaxation and comfort throughout dental operations.

A pediatric dentist would:

  • Conduct regular preventive examinations, the first visit should take place in the first month of life and after that, each appointment is scheduled at least 6 months apart.
  • Prevention of oral diseases teaches proper oral hygiene.
  • Carry out diagnostics of diseases of the oral cavity.
  • Carry out treatment of teeth, oral mucosa, and periodontal disease.
  • Perform aesthetic restoration of teeth after injuries

Results of Pediatric Dentistry in Georgia:

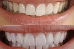
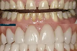
The candidate will attain overall comfort and improvement when it comes to oral health. Moreover, The treatments will result in an improvement in their teeth which will last a lifetime. The results will not be visible immediately after the treatment and will take some time to show and last for a long time.

The Benefits of Getting the Treatment at Sydney Royal:

The best Pediatric Dentist in USA will provide the following advantages:

  • Specialized dental experts.
  • Child-Friendly staff & environment.
  • Guarantee for all types of treatments.
  • Painless treatment by the best specialists.
  • Effective diagnostic equipment that is safe for children.
  • Experienced professionals who can find an approach to any child.

When to Visit a Pediatric Dentist?

It is necessary to visit a Pediatric Dentistry in Georgia & Tbilisi starting from the first month of life, at least once every 6 months.

The types of diagnostics a dentist performs include:

  • Taking medical history by examining patient data that will help make a diagnosis
  • Visual inspection
  • Oral examination

What Types of Treatments are Available?

  • Dental Exams and Cleanings
  • Fluoride Treatment
  • Dental Sealants
  • Fillings
  • Extractions
  • Orthodontic Treatment
  • Sedation Dentistry

Important Tips for Dental Hygiene:

Some essential tips are as follows:

  • Nutrition and lifestyle during pregnancy.
  • The need for regular visits to the dentist.
  • The need for regular professional oral hygiene.
  • Infant oral hygiene – use of dental wipes and then soft brushes.
  • Brush twice a day with children’s toothpaste, rinse the mouth after meals, and teach the child to floss.
  • Sufficient intake of calcium, protein, trace elements and B vitamins for proper growth of bones and teeth.
  • Prevention of anaemia, rickets, and rheumatism social disease that also affect the quality and health of teeth.

Pediatric Dentistry (FAQ’s):

What Are The Goals Of Pediatric Dentistry?
The main goals of Pediatric Dentistry are to root out causes of oral concern in children and resolve them, alleviate any pain or complication, minimize damage caused by any oral health issue, treat tooth abnormalities, and restore their functionality in children.
What Are The Dental Habits For Children?
Good dental habits that should be developed in kids include brushing twice daily before and after bedtime and flossing daily. Learning the importance of good oral care can result in developing habits that can one day save them from a lot of pain. Also, try to make regular visits to their dentist each year.
What Are The Complications Of Pediatric Dentistry?
Complications caused by trauma, injury, genetic and developmental disorders, behavioral changes, and anomalies are common in Pediatric Dentistry and an expert with relative experience in this regard should be able to address them post-examination.
What Causes Dental Injuries In Children?
During their early ages, injuries can be accidental through falling or playing with other kids while in teens, sports-related injuries account for more than 50% of dental injuries. These injuries can be divided into two categories, direct injuries that hit the teeth directly and indirect ones where a closed mouth is abruptly closed forcing teeth to close suddenly.
What Are 4 Common Dental Problems?

The four most common dental problems that are faced by almost everyone at least once during their lifetime are,

  1. Decay or Cavities.
  2. Sensitivity in tooth or gums.
  3. Root Infection ( usually treated through a filling)
  4. Gum Disease (gingivitis or periodontal disease)
What Are The Ethical Principles In Pediatric Dentistry?
The basic ethical principles in Pediatric Dentistry are patient autonomy, nonmaleficence, beneficence, justice, and veracity. It is important to understand each of these principles and apply them while practicing dentistry to ensure you fulfill your oath as a medical care provider.

The Smile will Last Forever!

Don’t ignore your child’s oral health. Get this treatment done by booking yourself for Pediatric Dentistry in Georgia, Tbilisiby filling out the consultation form below. We assure to deliver you the most desired results that will last for a long time!

Schedule A Consultation

WhatsApp